Smiles we've helped shape.
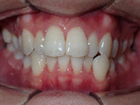
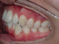
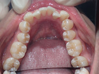
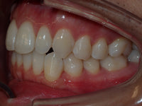
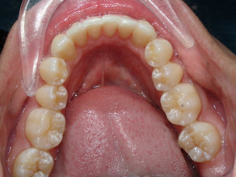
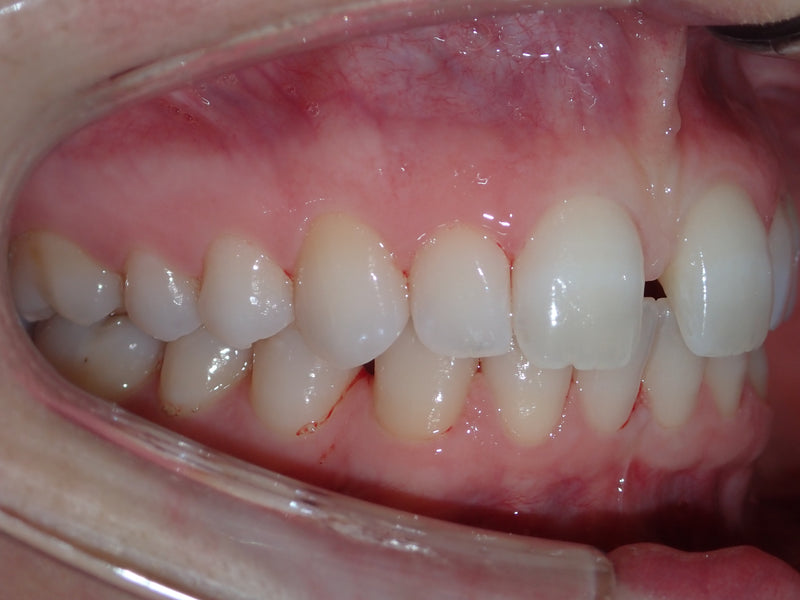
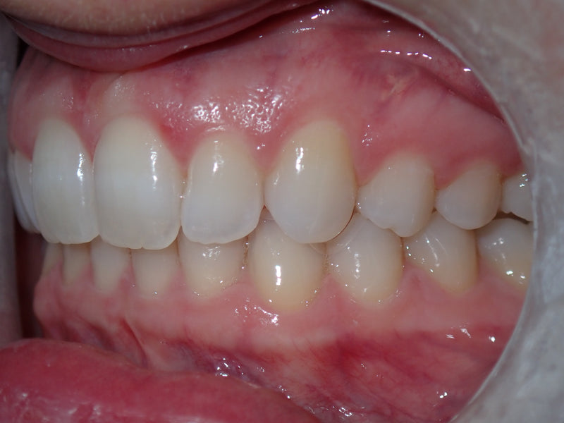
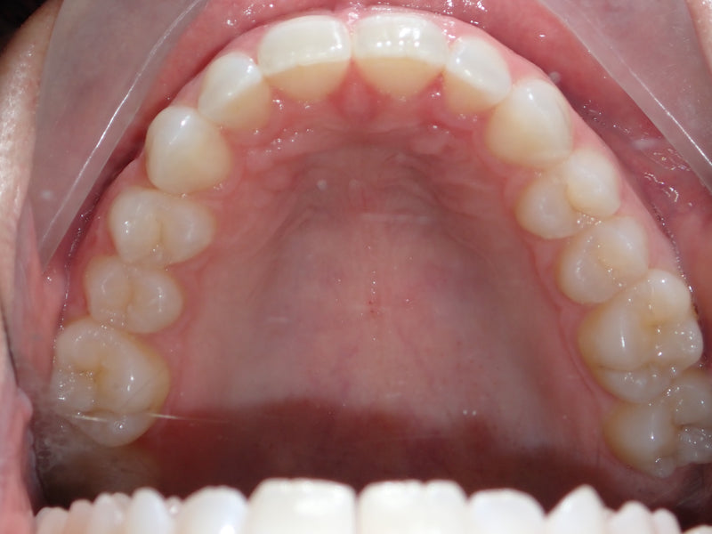
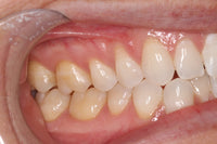
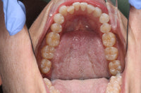
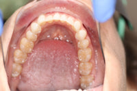
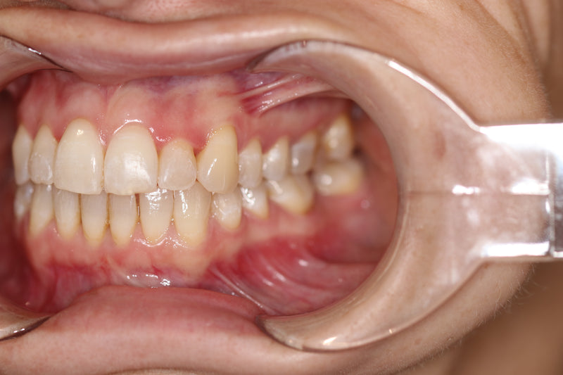
Before
After“Getting clear aligners has been one of the best decisions I've ever made. Not only has my smile transformed, but so has my confidence.”










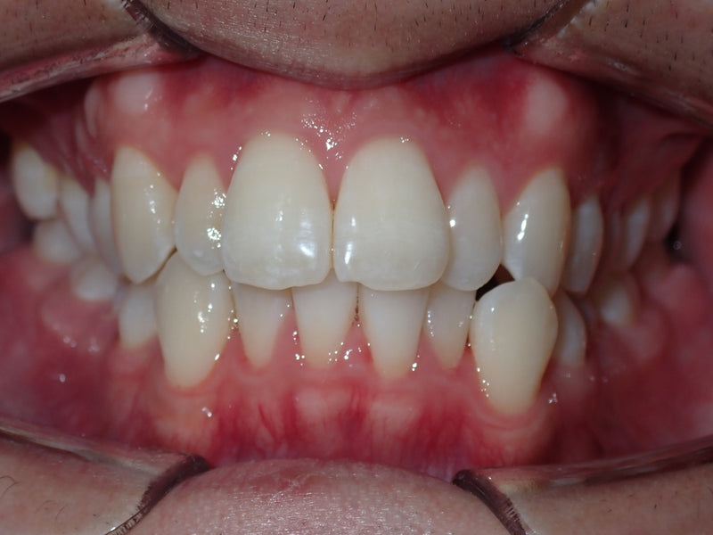
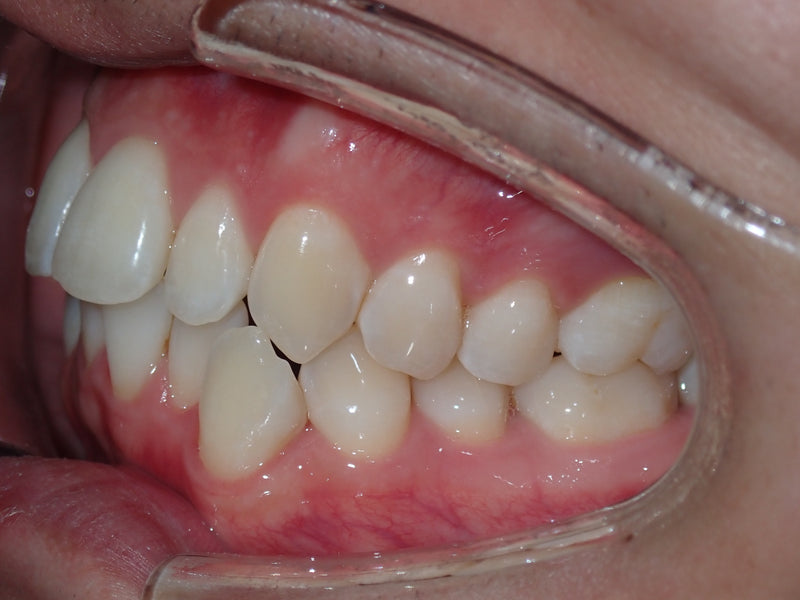
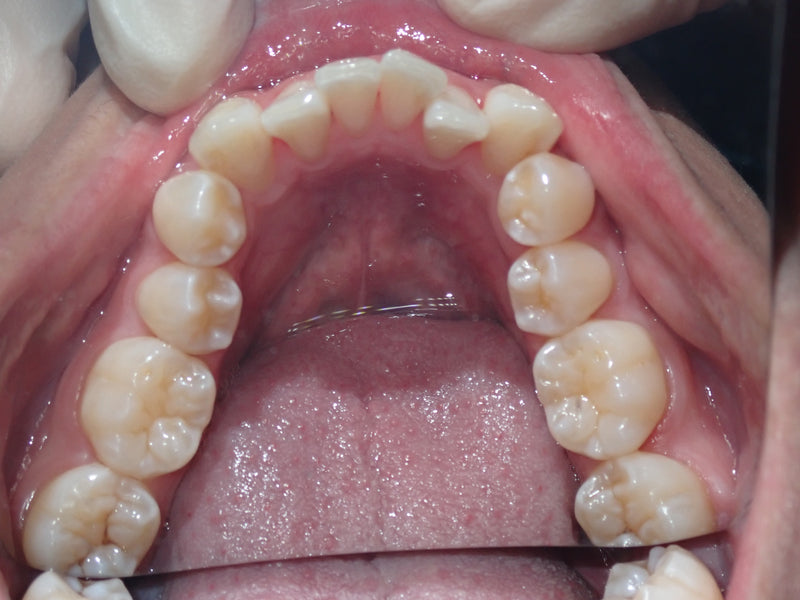
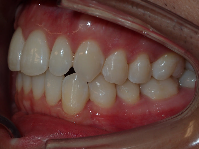
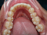
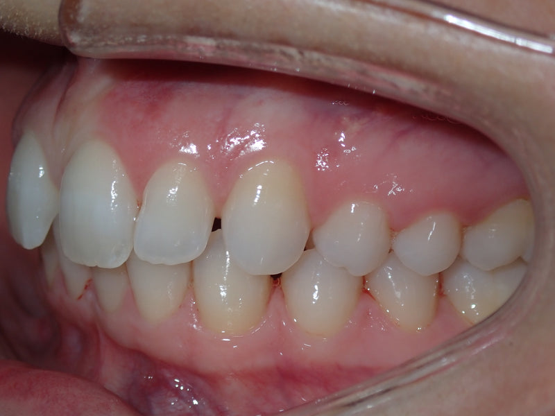
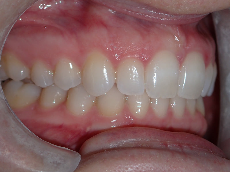
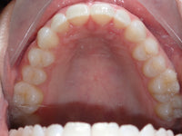
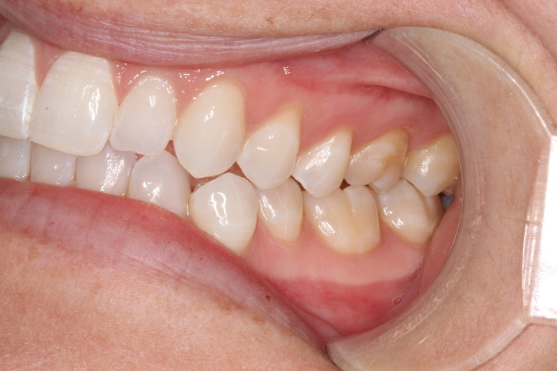
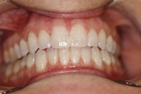
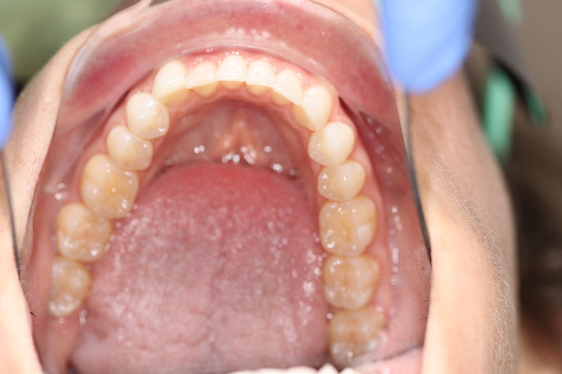
Before
After“Starting my aligner journey was truly life-changing. I never expected such amazing results, and now I smile with complete confidence every single day.”










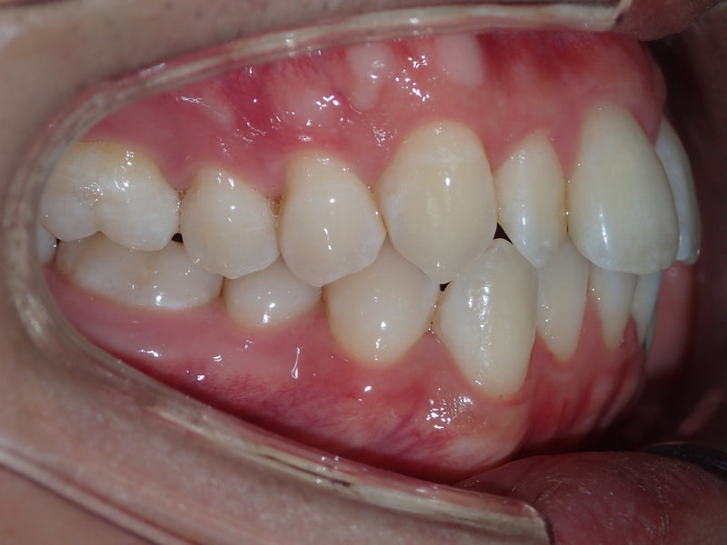
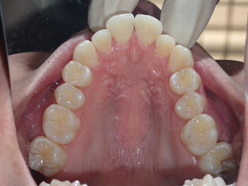
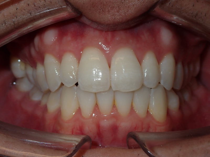
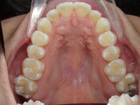
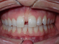
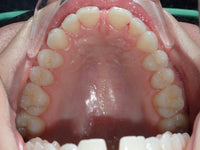
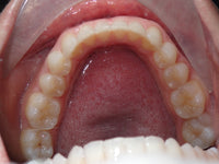
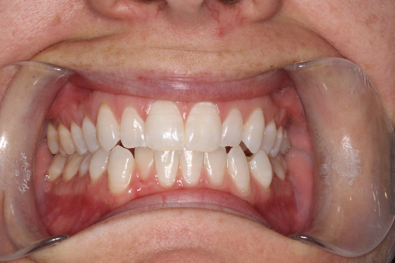
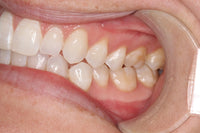
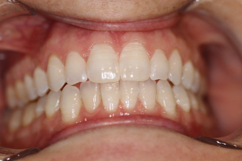
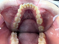
Before
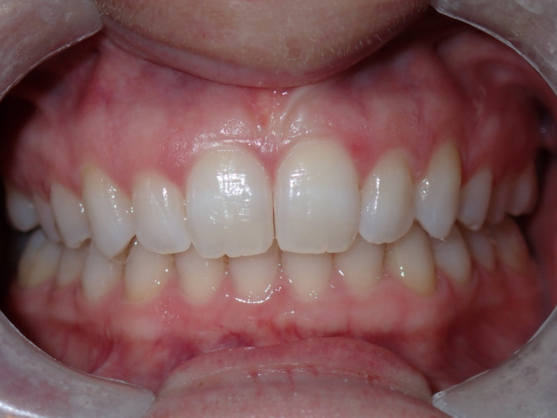
After“I’m so glad I chose clear aligners when I did. The process was simple, the results were stunning, and I feel like myself again when I smile.”










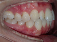
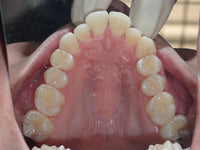
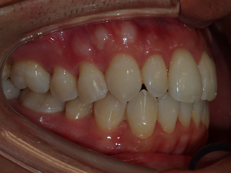
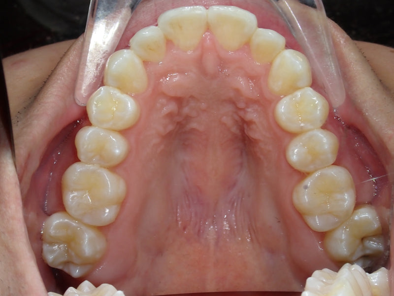
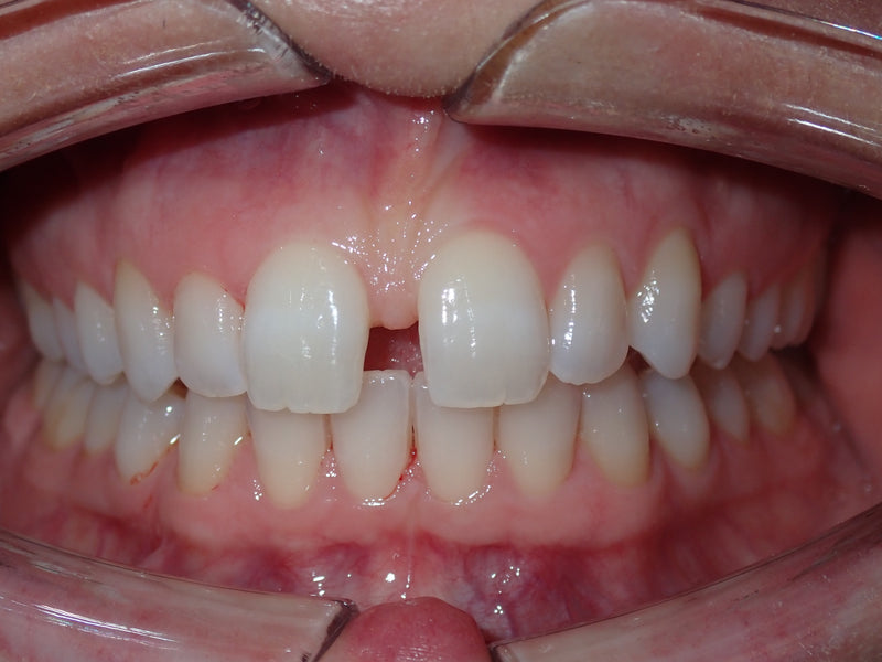
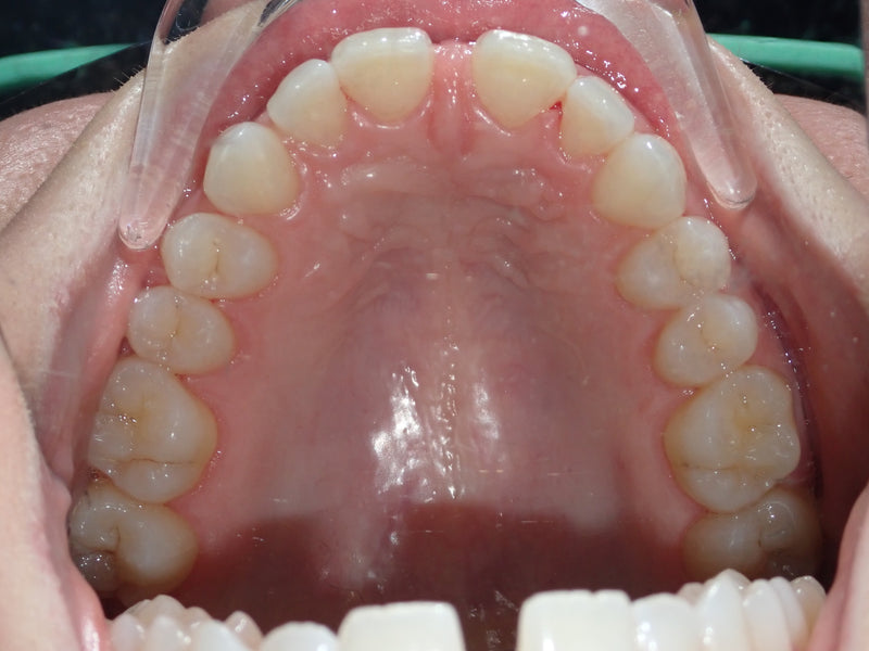
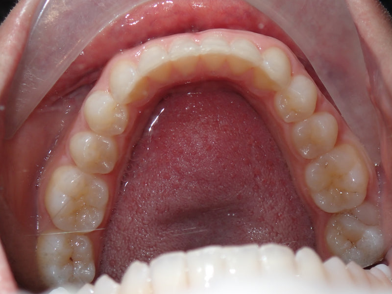
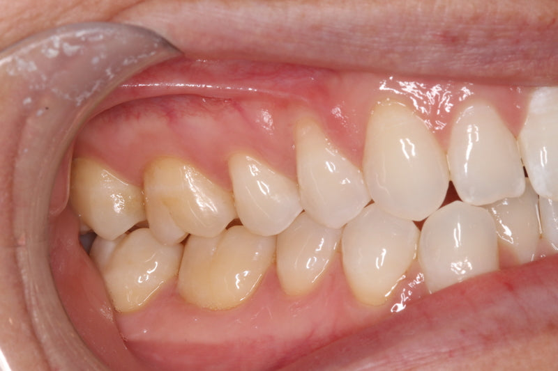
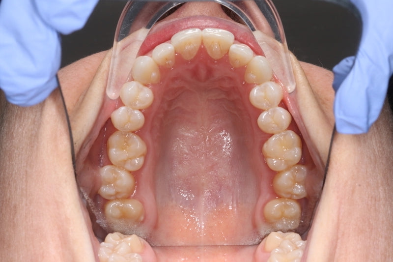
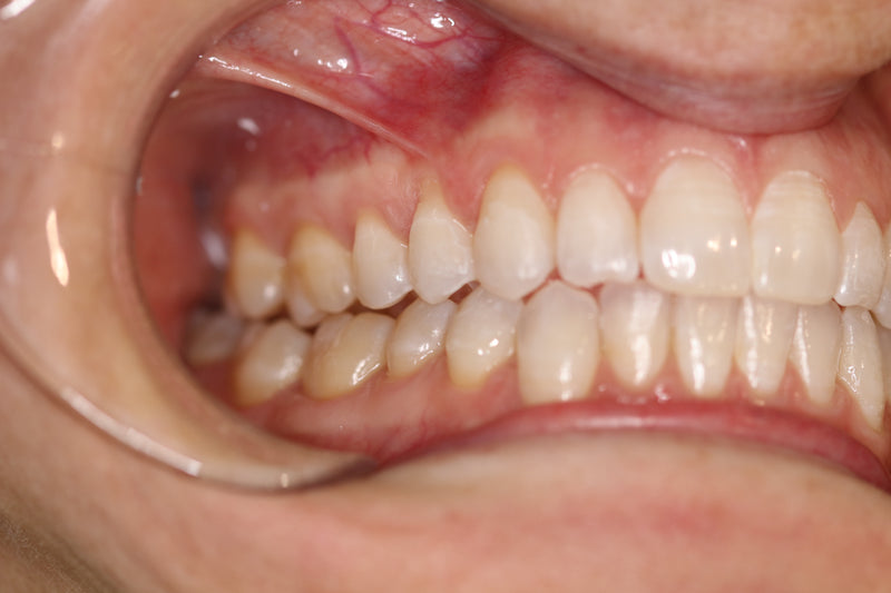
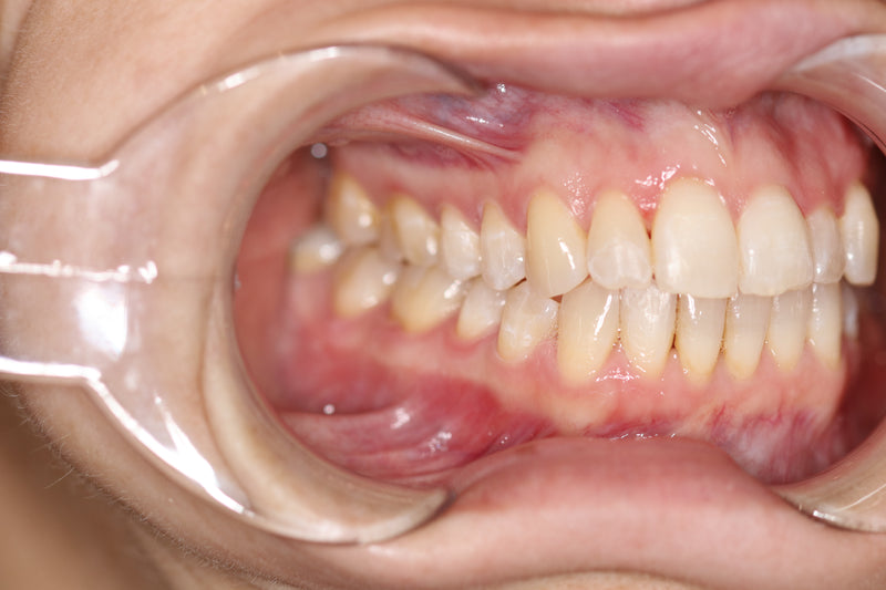
Before
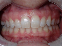
After“The aligners were easy to use and surprisingly effective. I love how straight my teeth are now and how much more confident I feel in photos.”



























